AI-Powered Oncology Tool
TNBC CPS++
The Next-Generation TNBC Cancer Prediction System designed for accurate, fast, and
reliable clinical decision support. Built to empower modern oncology workflows
with cutting-edge AI technology.
AI-Powered Oncology Tool
TNBC CPS++
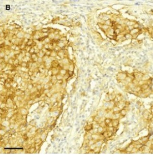
AI-driven system and method for automated multiplex spatial scoring
of PD-L1 expression using CNN, AI-agent orchestration
based on Model Context Protocol, and spatial biomarker analysis to
generate an enhanced CPS++ score for immunotherapy decision support
in TNBC patient